미니쉬 치아성형 가격
- 건강
- 2022. 2. 12. 08:06
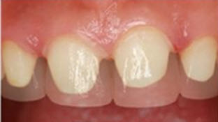
미니쉬란 치아의 삭제 없이 손상된 부위에 치아와 가장 비슷한 재료를 채워 넣어 손상된 치아와 잇몸을 회복하는 성형 치료를 말합니다.
미니쉬가 주로 상대방에게 노출이 잦은 앞니에 진행되는 경우가 많습니다.
반듯한 치아 배열과 색상, 크기 등은 상대방에게 반듯한 이미지를 주기 때문에 최근에는 미니쉬를 찾는 사람들이 크게 증가하고 있는 추이에 있습니다.
비슷한 방식으로 라미네이트 시술이 있습니다.
라미네이트는 치아의 겉면을 0.5mm 내외로 다듬어 세라믹 박편을 치아에 결합하는 방식으로 치아를 다듬는 과정에서 발생하는 부작용 등의 단점을 가지고 있습니다.

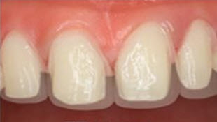
미니쉬는 라미네이트의 단점을 보강한 방식으로 0.2mm 내외로 다듬어 치아의 상실을 최소화하면서, 치아가 시리거나 세라믹이 박탈되는 현상을 현저하게 줄일 수 있습니다.
웃을 때 노출되는 치아 모양이 자연스러워 심미적인 효과를 기대할 수 있으며 기능적인 측면에서도 만족스럽기 때문에 연예인들과 더불어 치아교정이나 미백이 필요한 분들이 미니쉬를 많이 선택하고 있습니다.
미니쉬 치아성형을 받으면 좋은 사람






미니쉬 치아성형 효과



- 치아와 비슷한 성질을 가지고 있음
- 관리를 잘하면 반영구적
- 치아와 유사한 색 (외관상 구분 어려움)
- 접착력이 좋아 치아와 미니쉬 사이에 충치 예방 가능
- 치아와 거의 같은 수준의 강도
- 하루 만에 시술이 가능
- 치아 손실 최소화
미니쉬 치아성형 가격
미니쉬 치료의 가장 큰 단점은 바로 시술 비용이 비싸다는 것입니다.
미니쉬 치아 시술 가격은 개당 100만 원 정도로 비용이 형성되어 있습니다. 간혹 저렴하게 이벤트를 하는 경우에는 개당 75만 원 정도 비용을 받는 경우도 있습니다.

위의 사진은 실제 치과에서 안내하는 비용이며, 아래는 시술을 받은 사람의 후기 가격입니다.

참고로 라미네이트 가격은 평균 38만 원 내외로 형성되어 있습니다. 부작용이 적고 심미적으로도 보기 좋아 미니쉬 시술을 받고 후회한 경우는 거의 없지만 높은 가격은 부담으로 작용할 것 같습니다.
하지만 치아 중 웃을 때마다 노출이 많은 앞니의 경우에는 미니쉬가 가장 좋은 선택이 될 것 같습니다.
'건강' 카테고리의 다른 글
| 급격한 체중감소 원인 및 기준은? (0) | 2022.02.16 |
|---|---|
| 수면제 효과시간 및 지속시간 (0) | 2022.02.14 |
| 몽고주름이란? (연예인 사례 포함) (0) | 2022.02.02 |
| 돼지고기 먹으면 설사 하는 원인 (0) | 2021.12.22 |
| 설사가 계속될때 병원 어디로 갈까? (0) | 2021.12.14 |





