난소 물혹 크기 줄어드는 방법
- 건강/질환
- 2021. 7. 14. 09:09
난소는 자궁의 양 옆에 위치하여 배란을 통한 생식 기능과 함께 여성호르몬을 분비하는 기관입니다. 이러한 난소에 혹이 생기는 질환을 난소낭종 또는 난소물혹이라 하며 가임기 여성중 3~4명이 겪을 정도로 발병률이 높습니다.
난소에 생기는 물혹의 크기는 작기는 몇 밀리미터부터 7cm까지 다양합니다. 다행스러운 것은 물혹의 99% 이상이 양성이기 때문에 큰 이상은 발생하지 않는다는 것입니다.
다만 난소의 물혹이 커질 경우 난소의 기능에 이상이 생기면서 배란과 호르몬 분비에 장애가 생길 수 있어 여성의 건강과 임신에 악영향을 끼칠 수 있습니다.
따라서 난소에 물혹이 있다고 수술치료를 진행하지는 않으며 물혹의 크기와 건강에 미치는 영향을 고려하여 수술 여부를 결정합니다.

난소 물혹 수술해야 하는 경우
물혹의 크기가 2cm~3cm 이내라면 짧게는 수주에서 수개월 이내에 자연적으로 소실하는 경우가 많기 때문에 초음파 검사를 통해 물혹이 사라지는지 확인하면서 경과를 관찰합니다.

하지만 아래의 경우에는 즉시 치료를 받는 것이 좋습니다.
- 하복부 팽만
- 배뇨 및 배변 장애
- 부정출혈
- 골반통
- 소화불량
- 배란장애
- 불규칙한 생리
- 질 출혈
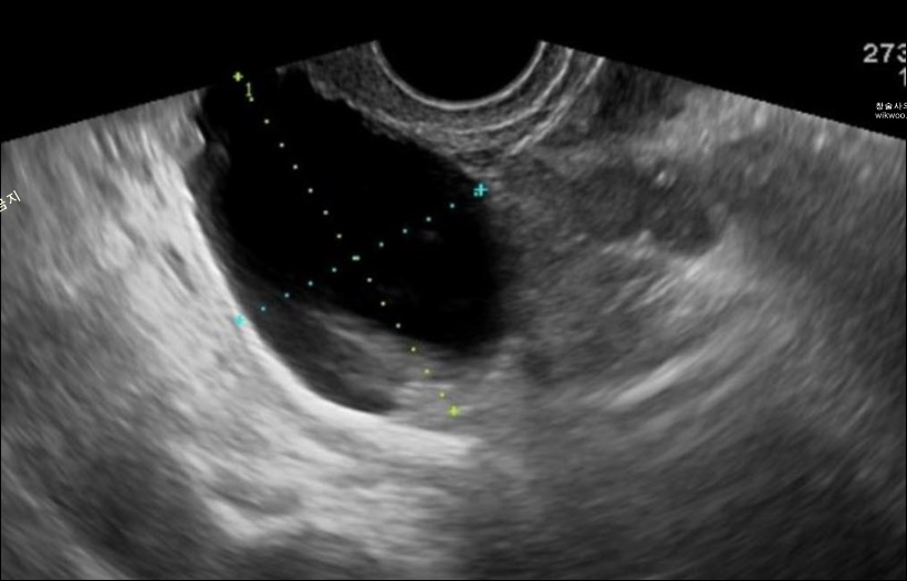
난소낭종으로 진단을 받으면 물혹의 크기를 알려주는데 2cm, 3cm, 4cm, 5cm까지는 위의 조건을 동반하지 않는 경우에는 꼭 수술을 해야 하는 것은 아니라고 합니다.
단 4cm 이상의 낭종은 몇 달간 초음파를 통해 유심히 지켜볼 필요가 있습니다.

※ 병원 의료진 소견에 따라 낭종 크기가 6cm, 7cm, 8cm인 경우에도 당장 복강경 수술을 권장하지 않고 추적 관찰하자고 하는 경우도 있습니다. 물혹은 배란으로 인해 커졌다가 작아졌다가 할 수 있습니다. 따라서 초음파 당시 발견된 물혹 크기만으로 바로 수술을 권하는 것은 신중할 필요가 있습니다.
반면 낭종의 크기가 작다고 무작정 안심해서도 안됩니다. 자연 소실이 되지 않고 오히려 크기가 더 커지거나 성장 속도가 빠르면서 제거하는 것이 좋습니다.
참고로 물혹이 커진다고 해도 1년에 1~2cm 정도로 자라는 경우가 보통입니다.
★ 예외의 경우
만약 임신을 준비 중에 있다면 상황은 달라집니다. 난소에 종양이 있을 경우 임신을 어렵게 할 수 있으며, 임신 이후에는 태아의 성장과정에서 압박감이 심해질 수 있습니다. 따라서 치료를 하고 임신을 계획하는 것이 좋습니다. 물혹이 터지거나 꼬이게 되는 경우 산모 뿐만 아니라 아이까지 위험에 처할 수 있으니 참고바랍니다.
난소 물혹 크기 줄이기

난소 낭종을 제거하는 치료 방법으로는 복강경과 경화술이 있습니다.
복강경의 경우 개복을 하지 않아 간단하다고는 얘기하나 수술 후 흔적을 남기기 때문에 망설이게 됩니다. 반면 경화술은 비수술적 치료 방법으로 수술과 다르게 개복 및 절개를 하지 않아 흔적을 남기지 않습니다.
당연히 경화술이 부담이 적으나 물혹이 다수 발생하며 크기가 계속 성장한다면 복강경을 통한 수술 치료가 필요합니다.
당장 수술을 해야 한다는 소견이 없을 때는 물혹의 상태를 추적 관찰하게 되는데, 이때 환자 본인의 노력으로 크기를 줄이기 위한 시도를 해 볼 수 있습니다.
기대해볼 수 있는 방법으로는 난소의 기능을 강화시켜주는 영양제의 도움을 받는 것입니다. 영양제 중에서는 비타민D가 대표적입니다.
여성에게 비타민D의 결핍은 자궁내막증, 다낭성 난소 증후군, 불임 등 난소 및 생식기에 밀접한 연관이 있는 것으로 밝혀졌습니다.
즉 비타민D는 여성의 난소 세포를 건강하게 하는데 중요한 역할을 하기 때문에 비타민D의 섭취를 권장합니다.
※ 비타민D는 햇빛의 자외선이 피부에 닿으면서 생성되지만 자외선 노출에 따른 부작용이 더 크기 때문에 햇빛을 피하는 경우가 많습니다. 즉 대부분의 사람은 비타민D가 부족하고 이를 영양제를 통해 보충해주는 것이 좋습니다. 참고로 성인 기준 1일 권장량은 1,000IU입니다.
물론 비타민D를 섭취한다고 물혹의 크기가 작아진다는 절대적인 보장은 하지 못하지만 보조제로서는 기대해 볼 수 있습니다.
아래는 실제 사례인 후기들입니다.


'건강 > 질환' 카테고리의 다른 글
| 대장암 3 기 생존율 (1기, 2기 4기 포함) (0) | 2021.07.30 |
|---|---|
| 통풍 초기 증상 간과하면 안되는 이유 (0) | 2021.07.23 |
| 심장 초음파 검사 비용 (건강보험 조건) (0) | 2021.07.22 |
| 임파선암 초기 증상 꼭 확인하세요. (0) | 2021.07.20 |
| 구강건조증 원인, 치료법 (0) | 2021.07.10 |





